山石牙醫診所是台北松山牙醫推薦名單中的專業牙醫診所,提供齒顎矯正、美學牙科與一般牙科服務,重視診斷品質與患者體驗,協助患者建立長期穩定的口腔健康。
「醫師,我這顆牙已經做過牙橋,為什麼還是一直出問題?」這位長期旅居國外的患者,十多年前因缺牙選擇製作傳統牙橋。然而多年後,支柱牙齒因清潔不易二次蛀牙以及根尖感染而牙橋鬆動、反覆不適,讓他身心俱疲。不僅無法好好進食,還常常因為不是而影響生活品質。缺牙用牙橋補起來,並不一定是長久之計。當鄰牙被修磨作為支撐,長期承受額外負擔,一旦其中一顆出問題,往往牽連整座牙橋。這次,他終於決定重新評估更穩定的重建方式。
「醫師,我這顆牙已經做過牙橋,為什麼還是一直出問題?」
這位長期旅居國外的患者,十多年前因缺牙選擇製作傳統牙橋。然而多年後,支柱牙齒因清潔不易二次蛀牙以及根尖感染而牙橋鬆動、反覆不適,讓他身心俱疲。不僅無法好好進食,還常常因為不是而影響生活品質。
缺牙用牙橋補起來,並不一定是長久之計。
當鄰牙被修磨作為支撐,長期承受額外負擔,一旦其中一顆出問題,往往牽連整座牙橋。這次,他終於決定重新評估更穩定的重建方式。
文章大綱 (點擊可快速前往)
在山石牙醫,我們首先進行完整評估:
• CBCT 斷層掃描分析骨量以及骨質• 數位口腔掃描與咬合重建規劃• 軟組織厚度與角化牙齦評估
因為植牙從來不只是把植體放進骨頭而已。周圍軟硬組織的條件,更是植體置入後長期穩定與美觀的關鍵。
在拔除問題牙橋與殘根後,我們同步進行齒槽骨重建與軟組織增量,減少組織流失,為未來植體創造理想環境。
拔牙前的規劃,就已經是重建的開始。
待組織條件穩定後,我們透過數位規劃系統整合斷層掃描與口掃資料,進行假牙導向的反向設計。
手術當天使用動態導航植牙系統(Dynamic Navigation),就像手術中的 GPS,能即時顯示植體角度與深度,確保每一步都精準對位。
這樣的優勢包括:
• 植體位置精準符合未來假牙設計• 避開重要神經與解剖結構• 減少翻瓣範圍,降低創傷• 提升長期穩定性與咬合預測性
真正的微創,不只是傷口小,而是長期穩定的精準設計。
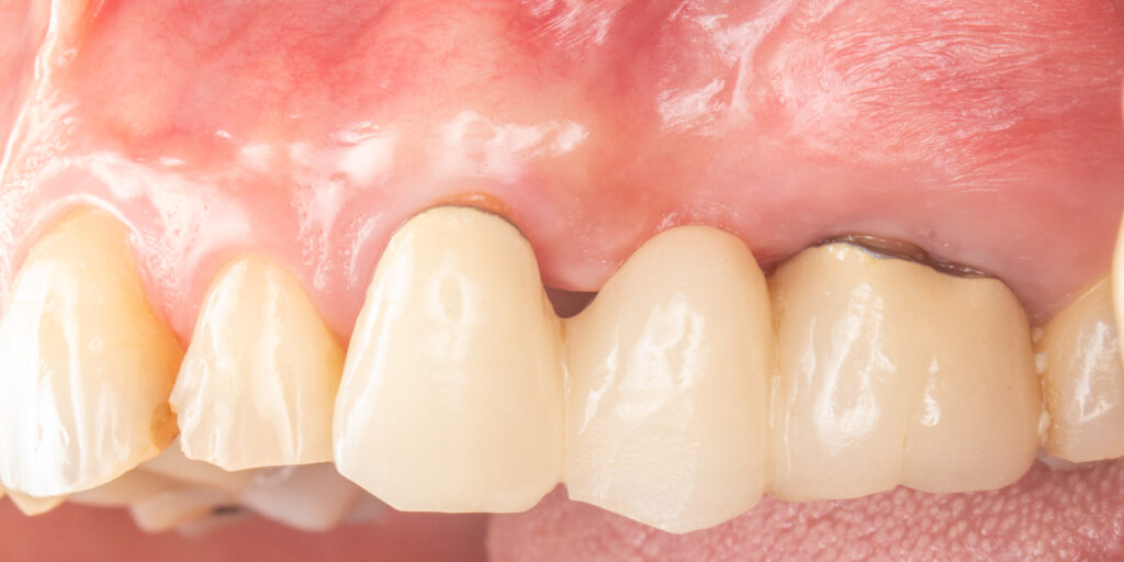
完成植體骨整合後,我們進行固定假牙重建與咬合調整。最終牙齦輪廓自然、咬合穩定,功能與美觀同步恢復。
這一次,不再依賴鄰牙支撐。而是建立在穩定骨整合與軟硬組織協調之上的獨立重建。
患者離開台灣前笑著說:
「這次終於不是修修補補,而是真正解決問題。」
在山石牙醫,我們相信——
植牙不是替代牙橋的選項,而是一套整合生物學、軟硬組織重建與數位精準導航的系統工程。
精準、微創、長久。才該是植牙代表的關鍵字
〈 延伸閱讀 |李勃醫師 垂直補骨硬再生與植牙重建
由贗復補綴專科(假牙專科)徐韙醫師主導假牙重建設計,結合山石全專科團隊的規劃,整合牙周、植牙、固定假牙與 All-on 重建的可能性。
前牙有縫(又稱正中牙縫)在臨床上並不少見。它可能來自牙齒形態差異、或牙周支持不足。對律師這樣需要時常開庭、面對客戶的專業職人來說,微笑就是門面。
利用水雷射無痛修整牙齦曲線,重新調整前牙的高度與微笑弧線,讓整體比例更自然柔和。 鄰牙則以樹脂修補,消除蛀牙與不規則邊緣,讓整體過渡更順暢。